疥癬(かいせん)について| 通常疥癬 | 角化型疥癬 (ノルウェー疥癬) |
|
|---|---|---|
| 寄生している ヒゼンダニの数 |
数十匹以下 | 100万~200万匹 |
| 患者の抵抗力 | 正常 | 低下している (高齢者や入院患者など) |
| 他者への うつりやすさ |
うつりにくい | 非常にうつりやすい |
| 症状 | ・赤いブツブツ ・疥癬トンネル (ヒゼンダニが這った線状の跡) |
皮ふに厚いあかが積み重なったような状態 (かさぶた、角質状) |
| 症状の出やすい 部分 |
手指、胸、お腹、太もも | 全身 |
| かゆみ | 強い | 一定せず、人により異なる |

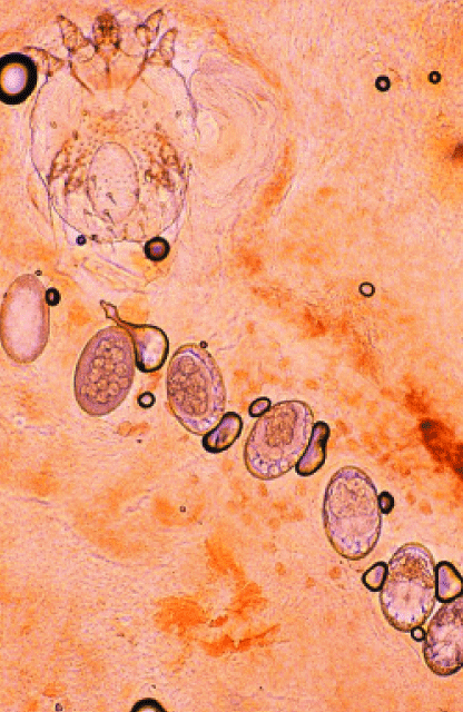
【ヒゼンダニの写真】
(出典 国立感染症研究所)
メスは1日2~3個の卵を産む。
成虫の腹部に卵がみられる。
※角化型疥癬の場合は、皮ふからはがれ落ちたあか(角層)に接触しただけでも感染することがあります。
疥癬が疑われる場合は、ただちに皮ふ科専門医の診察を受けましょう。
皮ふに疥癬らしき症状が出ている
かゆみが夜間に強くなる
身近な人に同じ症状が出ているこんな場合は疥癬の可能性があります。
医師の診断が下りるまでは、以下のことに気を付けましょう。
医師の指示に従い、薬の服用や塗布によって治療します。
日常生活の中では疥癬の症状によって、以下のように対処します。
| 通常疥癬 | 角化型疥癬 (ノルウェー疥癬) |
|
|---|---|---|
| 入浴 | ・ 体を丁寧に洗い、清潔に保つ ・ 入浴できない場合は、毎日タオルで拭きあげる。 ・ タオル、バスマットなど直接肌に触れるものを共用しない。 ・ 角化型疥癬の場合は入浴の順番を最後にし、皮ふのくずやふけが飛 び散らないように注意する。 |
・ 体を丁寧に洗い、清潔に保つ ・ 入浴できない場合は、毎日タオルで拭きあげる。 ・ タオル、バスマットなど直接肌に触れるものを共用しない。 ・ 角化型疥癬の場合は入浴の順番を最後にし、皮ふのくずやふけが飛 び散らないように注意する。 |
| 衣類、リネンの交換 | 毎日交換する | 毎日交換する |
| 他者との隔離 | 不要 (ただし、なるべく個室がよい。同室での雑魚寝は避ける) |
必要 |
| 介護者が注意すること | 介護作業前後に手洗いを行う | ・ 介護作業前後に手洗いを行う ・ 使い捨て手袋とガウン、キャップ の使用 |
| 室内の清掃 | 通常どおり | ・ 患者がいた場所への殺虫剤(ピレ スロイド系)の散布 ・ 掃除機による皮ふのくずの除去 |
| 衣類,リネンの洗濯消毒 | 通常通り | 以下のいずれか ・ 通常通り洗濯後,乾燥機使用 ・ 50度で10分間熱処理(※)後、洗濯 ※熱処理:熱湯に漬け込む、アイロン をあてる、布団の乾熱滅菌 (運搬時はビニール袋か、ふた付き容 器に入れて運ぶ) |
| 関係者(家族、介護者、同室者など)への対処 | ・ 接触があった者は、当日着た衣類をすぐ洗濯し、入浴する ・ 皮ふに異常が起こっていないか、継続的に観察する |
・ 接触があった者は、当日着た衣類をすぐ洗濯し、入浴する ・ 皮ふに異常が起こっていないか、継続的に観察する |
| 関係者(家族、介護者、同室者など)への対処 | 基本的に不要 (濃厚な接触のあった者は、クロタミトンを1週間外用する) |
必要 (同室者や高頻度の接触があった者はクロタミトンを1週間外用する) |
高齢者介護施設の関係者の方はこちらもご参考ください。
高齢者介護施設における感染対策マニュアル (1,924kbyte)![]()